Speeding up COVID-19 testing with artificial intelligence
A University of British Columbia-led study has identified a computer technique that health facilities can use to screen, diagnose and monitor COVID-19 pneumonia more efficiently.
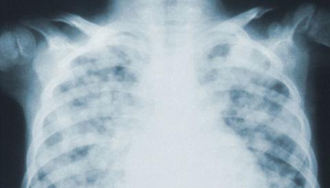
The researchers found that a pre-trained neural network called DarkNet-19 can rapidly and reliably detect COVID-19 on chest X-rays. The network recognized the disease’s imaging patterns on nearly 6,000 chest X-rays with 94 per cent accuracy, outperforming 16 other available networks.
X-rays typically take about five minutes to complete and five minutes to interpret, but the artificial intelligence-enhanced method can provide a "COVID-19 score" — the probability that a patient has the virus — within one minute.
The team also developed a DarkNet-19-based visualization system that highlights the key visual features of the disease and its progression.
“Many hospitals and clinics have become overwhelmed with work during this pandemic, requiring imaging specialists on staff 24/7 to analyze the large number of imaging tests that are being done,” says Mohamed Elgendi, the study’s lead author and an adjunct professor of electrical and computer engineering at the University of British Columbia. “With the help of artificial intelligence, we may be able to optimize the efficiency of X-ray imaging analysis and speed up the COVID screening process around the world.”

Current gold-standard laboratory tests are expensive and time-consuming, making them impractical for under-resourced health facilities to use. A real-time PCR test, for example, costs approximately CAN$4,000 and has an average turnaround time of three to six days.
In contrast, X-ray tests are widely available and cost about CAN$35 to $40 each. Using DarkNet-19 to analyze these X-rays, doctors could improve throughput and their ability to diagnose COVID-19, the study findings suggest.
“In the earliest stages of COVID-19, chest X-rays often appear normal to the naked eye,” says Savvas Nicolaou, the senior author of the study and the director of emergency and trauma imaging at Vancouver General Hospital. “But in the right clinical context, applying AI-augmented analysis to the same images may reveal the subtle presence of the disease.”
Nicolaou notes, however, that while imaging can assist in COVID-19 screening, it should be used more “as a complementary diagnostic, problem-solving and prognostic tool” in conjunction with clinical evaluation.
Previous research identified pre-trained neural networks that detect COVID-19 with accuracies ranging from 90 per cent to 98 per cent. But those studies examined far fewer sample sizes and were not optimally tested for specificity and reliability.
The study, whose authors also include researchers from Simon Fraser University, the University of Oxford and the Massachusetts Institute of Technology, was recently published in Frontiers in Medicine.